Transform Your Confidence: Cosmetic Dentistry & Smile Gallery
A beautiful smile is more than just aesthetics; it’s about the confidence to speak, laugh, and eat without hesitation. At Middlewich Street Dental Practice, our clinical lead, Dr. Scott Hall, combines advanced restorative techniques with an artistic eye to create natural-looking, life-changing results for patients across Crewe and South Cheshire.
Our Signature Cosmetic & Restorative Treatments
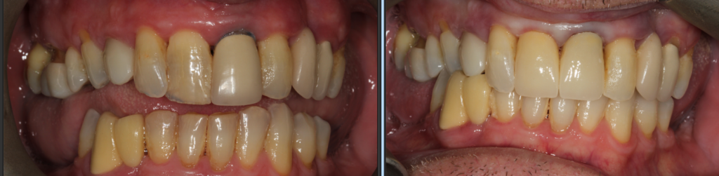
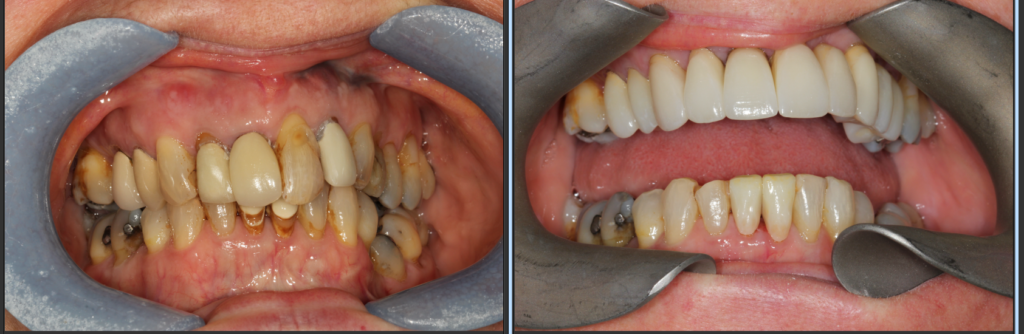
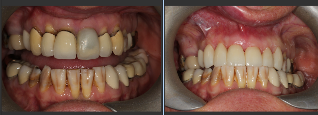
1. Zirconia Crowns & High-Aesthetic Bridges
For patients requiring durable yet beautiful restorations—especially for missing front teeth—we use Zirconia. This material is the “gold standard” in modern dentistry because it offers:
Incredible Strength: Perfect for long-span bridges.
Natural Translucency: It catches the light just like real tooth enamel.
No Dark Lines: Unlike older metal-based crowns, Zirconia never leaves a dark shadow at the gumline.
2. Modernising Your Smile: Replacing Old Silver Fillings
Many of our patients still have dark silver (amalgam) fillings that have discoloured over time. We specialise in mercury-free dentistry, replacing old metal with:
Composite Bonding: White, tooth-coloured resin that is sculpted to match your natural tooth shape.
Strength & Safety: Modern white fillings bond directly to the tooth, often helping to support and strengthen the remaining tooth structure more effectively than old metal.
3. Professional Boutique Whitening
The foundation of many smile makeovers. We safely brighten your natural teeth before matching your new crowns, bridges, or white fillings to your new, rejuvenated shade.
Is it safe to replace my old silver amalgam fillings?
Yes. At Middlewich Street Dental, we use specialized techniques to safely remove old silver fillings. Replacing them with white composite or Zirconia not only improves the look of your smile but also allows us to check for hidden decay or stress fractures beneath the old metal.
How long does a Zirconia bridge last?
With excellent oral hygiene and regular visits to our Crewe hygienist, a Zirconia bridge can last 10–15 years or more. It is highly resistant to staining and chipping, making it a fantastic long-term investment.
Can I change my silver fillings in one appointment?
In most cases, yes! We can often replace several amalgam fillings with tooth-coloured composite in a single visit at our CW1 practice, providing an instant “mini-makeover.”
The Patient Journey: What to Expect
Digital Consultation: We use high-resolution photography to plan your new smile before we even begin.
Trial Smile: For larger cases, like multiple crowns or bridges, we provide high-quality temporary restorations. This allows you to “test-drive” your new look.
The Reveal: Your final Zirconia restorations or composite upgrades are fitted, leaving you with a functional, durable, and radiant smile.
Why Choose Middlewich Street for Your Makeover?
Experience in Complex Cases: From surgical extractions to multi-unit bridge work, we handle it all right here on Middlewich Street.
Affordable Luxury: We offer Finance options to help you spread the cost of your treatment plan.
Local Trust: We are conveniently located near Grand Junction Retail Park with free parking directly outside the surgery.
[Click Here to Book Your Cosmetic Consultation] Or call our friendly team on 01270 584776 to start your journey.


